歯石とはなんでしょうか?
歯石とは、歯垢(プラーク)が石灰化したものです。
歯石の成分は一般的には, 無機成分が約 50%, 有機成分が約 30%, そして水分が約 20%と言われてます。
歯石自体には毒性はありませんが、顕微鏡で見てみると多孔質で要するにばい菌の格好の住処になってしまいます。
ですので歯石が悪いというよりは、虫歯菌や歯周病菌に対して足場を与えてしまうことが歯石のよくないところなんです。
最近テレビでもよく歯周病の話が出てきますし、セルフケアで歯石取りなんてのもありますね。
歯石を取らなきゃという意識は皆さん高いかと思います。
「歯石取り 自分で」で検索をすると色々出てきますし、ロフトにいくとスケーラーと呼ばれる専用の器具もセルフケア用として売ってあるんですね。
色々調べていくと、どうもアメリカ人はセルフケアが好きみたいで、ホワイトニングも自分でしますし、その流れで歯石も自分でとることが多いみたいですね。
製品を見るとアメリカ製が多いのも、それが理由でしょうか。
https://www.google.com/search?sca_esv=625157b32196c1a0&sxsrf=ADLYWILxq8kS_x2UePaKBlvQQnVRW8FDzQ:1734664446870&q=%E6%AD%AF%E7%9F%B3%E5%8F%96%E3%82%8A%E3%80%80%E8%87%AA%E5%88%86%E3%81%A7&udm=28&fbs=AEQNm0Do4mQ_iNuvMb8tSM7GyIgp9YB4o4-GNi-cqswEUnnTD1wBYNmFLDtTG7pz-p6aXlenxi_lX0hE7S2Oa5utqj9kZSr7oG6WoaANmzwiGaKSadGCvURpqp29uM_D7kDwJpYBrF77wFd4noWrEdOaFNifpKcAys6q6xRyL1IwCw6ojk6Hltzkm0R0Kyi2iQmCMDt84shyZXoXCnCzJ1VVp1YNPIectzlVeaaBGhTYcdmaT-9XoMo&ved=1t:220175&ictx=111&biw=1920&bih=1039
本来、スケーラーというのは刃物みたいなものなので、あまり使ってしまうとどんどん歯が削れてしまうのでいいことではないのですが、その危険性にはあまり触れられてないみたいですね。
もちろん、歯石がないほうがいいのですが、歯石の表面に救ってしまう細菌が問題なのです。
なので、しっかりと歯ブラシができると歯石をとってなくても歯茎の腫れは落ち着いていきます。
極論ですが、歯ブラシが完璧であれば歯石はとる必要はありません。

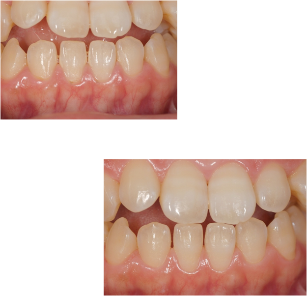
上の方も歯石取りはしておりませんが、十分きれいになっていますね。
でも、すべての場合においてそれが一番正しいかというとそうではありません。
ですので、歯石を取って、歯ブラシを頑張ることになります。
なぜこんな話をするかというと、よく歯科医院では治療の始まりとか終わりで
「では歯石取りからはじめましょう!」
とか
「治療も終わったし歯石をとって終わりましょう」
といわれることが多いのではないでしょうか?
でも、大事なことは歯垢>歯石なんです!
歯石をとっても、汚れが取れてないとすぐ歯石はたまるわ、歯茎が腫れるわ、になってしまうんです。
ですので、WADA DENTAL CLINICでは、最初に歯石取り!というのをしません。
根本的な原因は歯垢になるので、ブラッシングによって歯垢がちゃんと除去できて歯茎が落ち着くまでは積極的に歯石取りや治療を進めることはありませんし、海外の論文ではそれを裏付ける研究がよく見られます。
虫歯も歯周病も予防は簡単です!
ちゃんとプラーク(歯垢)が取れるようになるだけです!!
そこから一緒に頑張りましょう!!


