ホーム ≫ 歯周病&予防 ≫
歯周病
歯周病とはどういう病気でしょうか?今ではテレビやWEBなどで虫歯や歯周病の情報は色々とで回っているので知らない方はいらっしゃらないと思います。 実は歯周病は感染症になります。 感染症とは 外来の細菌・ウイルス等が体内に侵入・増殖し、体の異変を起こすことをいいます。
本来の人間の体には歯周病の菌も虫歯の菌もいないながら、成長過程において外部(家族や接触した物)から感染されることによって発症する病気になります。実はギネスブックでも人類最大の感染症として認定されており、今脅威となっている新型コロナウイルスよりも人にとっては猛威をふるう病気となっています。ただ、身近すぎてそこまで気を払っていないことが多いのではないでしょうか??
それでは、身近な歯周病の症状というのはどういうものでしょうか??
- 歯茎が腫れている
- 噛むと歯が痛い
- 歯ブラシをしてて、出血する
- 歯がグラグラと動く
一般的な症状としてはこういった感じだと思います。
まずは、歯周病というのはどういった病気でしょうか?
上の画像を診てもらうと分かると思うのですが、歯茎がはれてところどころ出血もあります。
では実際に歯茎の中でどういったことが起きているのでしょうか?

プラーク(歯垢)の中にたくさん存在する細菌が、歯茎の中に入っていきそこで体の免疫細胞と戦いになります。その状態こそが、歯肉炎(歯茎の腫れや赤み)の状態になります。
さらに、歯肉炎の状態が続いたり、免疫の細胞が弱くなってしまうと、さらに細菌は奥のほうに進んでしまいます。それによって、体の反応として歯の周りの骨を退避(骨を溶かす)させ、細菌が骨の中に入ってくるのを防ごうとします。これが、歯周病によって骨が解ける=周りが痩せていくことにつながっていきます。そして、最後は支えがなくなってしまい、歯がぐらぐらする、嚙むと痛いという状態になっていきます。
どうしたらいいのでしょうか?
一般的には
歯周病の治療=歯石取り
というのが認識なのではないでしょうか?
大学病院の歯周病科にいたときから、歯周病の(こちら側の)治癒というのはいかに歯周ポケットがなくなり、隠れた汚れや歯石がなくなるかということでした。つまり、歯石をいかにうまくとるか、場合によっては外科的に歯石をとることを中心に勉強してきました。今も歯周病の治療というものは、そういうものだと大学病院や様々なセミナーで伝えられてます。しかし、歯周ポケットがなくなるということは歯茎が下がるということと一緒でした。どうしてかというと、腫れていた歯茎が引き締まることで見た目としては歯茎が下がることになってしまいます。自分たちとしては歯茎が下がることが治療の成功と捉えることが多かったのですが、患者さんにとっては見た目もですが、冷たいものが沁みるような知覚過敏だったり、果てには虫歯になりやすかったりと、他の悪影響を作り出してしまう結果になってました。

ちょっと前の発表時のスライドですが、こういったことですね。
歯茎は数字的には良くなったものの、歯が長く見えるようになってしまいました。
こうした状況を疑問として考えていましたが、今まで考えていた歯茎(歯肉)よりもすごくきれいな歯茎に治療をしていただいている先生たちに出会い、今はその先生たちと一緒に勉強をさせていただいております。
今までの治療が間違っていたというよりは、もっと歯周病の治療でできることがあったという方が正解でしょうか。
WADA DENTAL CLINICでは予防治療、歯周病治療の先進国であるスウェーデン、スカンジナビアの歯周病治療を導入しております。それにより、いまでは歯周ポケットが少なくなり汚れがたまらないように、さらに歯茎が下がらないようにと、歯周病の治療を進めています。
具体的には?

歯周病とはただの歯ぐきの病気ではなく、実はお口全体のトラブルから来る総合的な病気なのです。ですので、歯周病の治療は大きな視野を持ちDr、衛生士ともども一緒に付き合っていくことになります。
その為、歯石取りだけで済ませるのであれば、数回で終わりますが、そういった治療は必ず再発します。しっかりと、歯周病を直し、自分の歯でずっと噛み続けていくためには今までの環境と習慣を変えることになるので、時間をいただくことになります。
その為に当医院ではGBTと呼ばれるプロトコルを採用しております。
GBTについて
WADA DENTAL CLINICでは、歯周病の治療、予防としてGBTと呼ばれるプログラムを採用しております。GBTとはスイスにあるEMS(歯科の研究が盛んなメーカー)による、従来のクリーニングや歯石取りとは違った科学的な根拠に基づく歯周病の治療およびメインテナンスになります。
以下メーカーの説明になります。
要点としては、細菌、食物残渣からなるバイオフィルム(≒プラーク、歯垢)が歯周病、虫歯の原因であるので、その原因をいかに除去をするか?
そして、バイオフィルムがない状態(=虫歯・歯周病にならない状態)をいかに保ち続けるか?ということを科学的なエビデンスに基づいて、適切な器具を使用しながら口腔内を保っていく画期的なシステムになります。
当医院でも、2017からスカンジナビアペリオを学んでいき、2018年に横浜にて行われた国際大会のときにEMSの学術長のNEHA先生より直接GBTの講義を受け、SDA、ELVA等でセミナー、実践をおこなっていき、当医院でもGBTを進めていくができるようになりました。
また、エムドゲインを用いた歯周組織再生療法や自分の歯を用いてなくなった骨を再生させるAuto-Tooth Boneと呼ばれる技術をもちいて高度な歯周病の高度な再生治療を行うことができます。
STRAUMANN® EMDOGAIN cosmobiomedicare
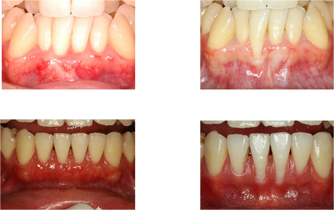
結果として、以下のような方も、歯茎を減らすことなく、しっかりと治療することができるようになりました。
治療後は?

治療が終わった後は、改善した状態を維持するだけです。ただし、そのままほったらかしになってしまうと、徐々に以前の歯周病の状態に後戻りしてしまうのでしっかりと担当の衛生士と3人で最高の状態を維持していきましょう!