歯石取りはしなければいけないのでしょうか?
歯周病になるから?
口臭の原因になるから?
汚れているのが気になるから?
まわりのひとがいってるから?
はたまた、歯医者さんに呼ばれてなんとなく?
皆さん、歯石は取るものであるとは思っていらっしゃるとは思いますが、
歯石をなんでとるのかはよくわかりませんよね。
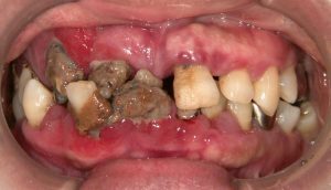
その前に歯石とは何でしょうか??
簡単に言うと、歯垢(プラーク)がかたくなったもの(石灰化)で簡単には取れなくなってしまったものです。
人にもよりますが歯垢からおよそ3、4日ほどで歯石へと変わってしまうとも言われています。
できる場所も多種多様で、歯と歯の間だったり、歯と歯茎の隙間だったり、前歯だったり、奥歯だったり、見えるところも、見えないところにもできてしまいます。
ただし、歯石自体に毒性があるわけではありません。
たんなる石みたいなものですね。
しかし、その表面はぼこぼこしており、ばい菌(虫歯菌、歯周病菌)が巣くうには絶好の場所となってしまいます。
そうして、歯石にとどまってしまったばい菌により虫歯や歯周病が引き起こされてしまします。
ですので、歯石が虫歯や歯周病の原因というよりは、単なる誘発因子なのです。
ただし、歯石があることでリスクはぐんと上がります。
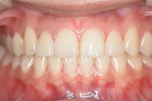
そうならないように、定期的に歯石を取る必要があります。
また、歯石が付きにくいように、しっかりとプラーク(歯垢)の段階で汚れを取っておく必要があるわけですね。
歯石がたまってしまう頻度は人ぞれぞれです。
1か月もすればついてしまう人もいれば、ほとんどつかない方もいらっしゃいます。
でも、防止策は簡単です!
歯ブラシをきっちり行えれば、今よりも歯石はつきにくくなります。
皆さんはどちらがよろしいでしょうか??


もちろん赤ちゃんにも歯石はつきますよ!!
お父さんお母さんもしっかり見てあげてくださいね!!
めずらしいですけどね。
歯石を貯めないということは難しいです。
しかし、歯石を貯めないようにも衛生士さんたちが一緒に頑張ってくれますし、たまってしまった歯石も取っていきますので一緒に頑張っていきましょう!!
2024年12月20日 12:19


