乳歯からの生え換わりでご注意を!(中心結節)
そのうちの一つに中心結節と呼ばれるものがあります。
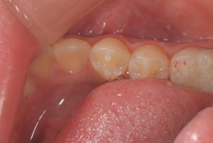
たとえばこちら


歯の中心に突起があるのがわかるでしょうか?
よく見てみると、ツノのようなものが生えているような状態があります。
これは中心結節(ちゅうしんけっせつ)とよばれ、下の歯の真ん中の歯(小臼歯)では出現率は1~4%ともいわれています。
10歳くらいのお子さんがいらっしゃる方はお子さんの歯をよく見てみて、歯の噛みあう場所の面のところに、ツノのようなものがあったら、要注意です!
そのままだと、 虫歯ではないのに歯がシミたり、噛んだ時に痛みがあったり、原因不明の違和感があったりすることがあります。
何故かというと、 中心結節の中には神経の管があり、破折すると、神経が出て、シミや噛んだ時の痛み、歯茎の腫れなどが起こることがあります。
しかし、虫歯ではないので初期の場合、レントゲンでは悪くなった状態がわからないこともあります。歯医者でも知覚過敏や歯ぎしりなどとの違いに診断を下すのが難しい場合があります。
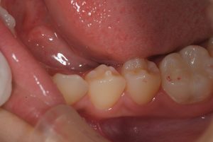
上で上げている写真のお子さんも、実は中心結節が折れていましたが、レントゲン写真より神経は中になく症状もなかったので一安心でした。
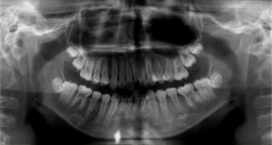
次に、別の患者さんの例です。
左下の痛みに襲われ歯医者さんに行くものの、特に原因が認められないため様子を見ましょうと言われていたということで、3件目で当医院に来ていただきました。

歯を見てみると中心結節が折れており、X線写真をとってみると神経が死んでしまい、左下の小臼歯から膿がたまっていた状態でした。

まさに、中心結節が原因となっていた状態でした。
この場合は歯の根が感染していたため通常の治療を行いましたが、年齢も若く根が出来上がっていませんでした。
ですので、半年ほど特殊なお薬をもちいて根を封鎖してから、お薬を詰めてしっかり噛んでいただいております。

ある論文*1 によると 、中心結節に関しては接着性レジン(プラスティック)によって割れないように予防することでほとんどが予防できるという発表もあります。
また同論文でも、折れて感染した完成していない永久歯でも今回の処置により、半数は根の封鎖がされたという報告になっていました。
ま、まずは予防によって、歯が折れないように、神経が失われないように、というのが大事ということですね。
ぜひご注意を!
*1 Nakagawa Yoshiaki et al,Prognosis of Dens Evaginatus in Immature Permanent teeth,小児歯科学雑誌,一般社団法人 日本小児歯科学会,1996,34(5),1036-1043
2025年01月05日 21:41


