歯のクビレが気になりませんか?:NCCLという新しい考え方
自分が歯科医師になった当初から、これまでにいくつかの考え方が変わってきましたが、「くさび状欠損」ほど考えが2転3転するものはありません。
まず、多くの患者さんが「歯がしみるようになった」と訴えることがあります。

ほとんどの方が最初に思い浮かべるのは「虫歯」だと思います。
実際に歯医者に行くと、「虫歯ではなくて知覚過敏ですね」と言われることもよくあります。
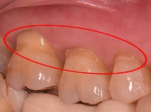
この場合、歯と歯茎の境目が欠け、神経が近くなったために知覚過敏が起こっていることがあります。
この状態は昔から「くさび状欠損」と呼ばれており、欠けた部分の形状が特徴的です。


では、この欠損の原因は何でしょうか?
自分が歯科医師になったばかりの頃は、歯ブラシの使いすぎ(特に強く当てすぎ)で歯が削れていると教えられていました。
実際、歯ブラシで削れているケースも見られましたが、欠けがあまりにも少ない場合も多く、「歯ブラシでこんなに削れるのだろうか?」と疑問を感じていました。
そこで、1991年にGrippo先生が提唱した「アブフラクション」という概念が自分にとってわかりやすいものとなりました。
アブフラクションとは、歯ぎしりや食いしばりなどによって強い力が持続的に歯にかかり、その応力が特定の部位に集中することで、歯の表面が剥がれ、くさび形の欠損ができるという考え方です。

当時、この考え方は自分にとって非常に納得のいくもので、しばらくの間、歯の欠けは主にかみ合わせの問題によって生じると考えていました。
しかし、最近になってさまざまな文献や勉強を通じて、「NCCL(Non Carious Cervical Lesion:非う蝕性歯頸部歯質欠損)」という新しい用語に出会いました。
この分野で有名な黒江先生の講義を受けたこともあり、多くを学びました。
最近よく耳にする「Tooth Wear」という言葉も、虫歯ではなく歯の一部が失われる状態の総称を指しています。
NCCLは特に歯の頸部(歯茎に近い部分)の欠損に関連していると考えられています。
では、NCCLの原因は何なのでしょうか?
かつては、アブフラクションが最も大きな原因だと考えられていましたが、海外の歯周病学会(AAPやEFPなど)が発表した資料によると、NCCLの原因としてアブフラクションは挙げられていませんでした。
アブフラクションの理論は多くの実験や研究が行われましたが、再現性に乏しく、エビデンス(根拠)が不十分であるため、原因としては認められていないのです。
つまり、アブフラクションのような概念は一つの可能性として考えられますが、証拠が足りないため原因とは認められていないということです。
そのため、NCCL(くさび状欠損)の原因は酸蝕や摩耗など、さまざまな要因が組み合わさった多因子疾患だと考えられています。今後も、噛み合わせが関与するかどうかについては議論が続くでしょう。
歯は虫歯や歯周病によって失われることが多いですが、研究や治療法の進歩により、これらは予防できることが分かってきました。
ただし、力が加わって歯が割れたり、NCCLのように摩耗や酸によって歯が損なわれることもあります。
これらも適切に対応すれば予防が可能です。
定期的に歯科でチェックを受け、歯を大切にしていきましょう!


