歯が染みたり、クビレが気になりませんか?:NCCLという考え方
歯科医師になってから、さまざまな知識や考え方が変わってきましたが、その中でも「くさび状欠損」に関する考え方は、何度も変わってきたテーマのひとつです。
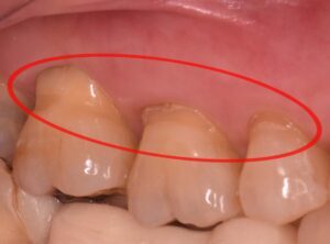
くさび状欠損とは?
患者さんが「歯がしみる」と訴える場合、多くの人がまず「虫歯かな?」と考えるでしょう。しかし、歯科医院で診てもらうと「これは虫歯ではなく知覚過敏ですね」と言われることがあります。

知覚過敏の原因のひとつとして、歯と歯茎の境目付近の歯質が欠けてしまい、神経が近くなることでしみる症状が出ることがあります。この状態が、昔から「くさび状欠損」と呼ばれてきたものです。
では、この「くさび状欠損」は何が原因で起こるのでしょうか?


かつての定説:歯ブラシの過剰な力
私が歯科医師になった頃は、くさび状欠損の主な原因は「歯ブラシの当てすぎ(ブラッシング圧が強すぎる)」だと考えられていました。確かに、強いブラッシングで歯が削れてしまうケースもありました。
しかし、多くの患者さんを診る中で、「それほど強く磨いていない人でも、くさび状欠損がある」という疑問を持つようになりました。「本当に歯ブラシだけで、こんなに歯が削れるのか?」と。
「アブフラクション」という概念
そんなときに、自分の中で納得できた考え方が1991年にGrippo先生が提唱した「アブフラクション(Abfraction)」という理論でした。
アブフラクションとは、歯ぎしりや食いしばりによって歯に強い力がかかり、その応力が特定の部位に集中することで歯質が剥がれ、くさび状の欠損が生じるという考え方です。
この理論は、当時の私にとって非常に納得感のあるもので、「くさび状欠損=咬合力によるもの」と考えるようになりました。

最新の考え方:NCCL(非う蝕性歯頸部歯質欠損)
しかし、近年の研究を進める中で、新たな概念として「NCCL(Non-Carious Cervical Lesion:非う蝕性歯頸部歯質欠損)」が登場しました。
NCCLは「虫歯ではなく、歯の一部が失われてしまう状態」の一種で、特に歯のくびれた部分に生じるものと定義されています。最近では「Tooth Wear(歯の摩耗・損耗)」という言葉もよく使われるようになっています。
このNCCLの原因について、以前はアブフラクションが主な要因とされていました。しかし、AAP(アメリカ歯周病学会)やEFP(ヨーロッパ歯周病連盟)といった国際的な学会の見解では、「アブフラクション」はNCCLの確定的な原因とは認められていません。
その理由は、実験や研究でアブフラクションの再現性が得られず、十分なエビデンスがないとされているためです。つまり、「アブフラクションという現象は理論上考えられるが、科学的な証拠が不足している」というのが現時点での評価です。
NCCLの本当の原因とは?
では、NCCLは何が原因で起こるのでしょうか?
現在の考え方では、NCCLは「多因子疾患」であり、さまざまな要素が関与するとされています。その要因として、
- 酸蝕(酸性の飲食物、胃食道逆流症による酸の影響)
- 摩耗(歯ブラシや研磨剤の影響)
- 咬合力(食いしばりや歯ぎしりの影響)
といった複数の要因が絡み合っている可能性が高いのです。咬合力がどの程度影響するかについては、今後も議論が続くと考えられます。
予防と対策
これまで、歯が失われる主な原因は「虫歯」と「歯周病」でした。しかし、研究が進むにつれ、それらは適切なケアで予防できることがわかってきました。
一方で、NCCLのような「歯の非う蝕性の欠損」は、現代の歯科において新たな課題として注目されています。ただし、適切な対応をすれば予防は可能です。
- 酸蝕の予防 → 酸性飲食物の摂取を控える、摂取後すぐにブラッシングせずうがいをする
- 摩耗の予防 → 強すぎるブラッシングを避ける、適切な歯磨き方法を実践する
- 咬合力のコントロール → ナイトガード(マウスピース)の使用、噛み合わせのチェックを受ける
定期的に歯科医院でチェックを受けながら、自分の歯を長く健康に保っていきましょう。


